Skip to main content

#18 Pulpal Necrosis and Normal Periapex

Karen S. Potter, DDS
Diplomate, American Board of Endodontics
San Clemente Endodontics

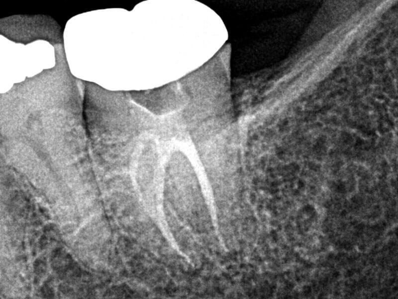
66-year-old female presented with history of spontaneous, intermittent pain in the lower left quadrant for three days, progressing to acute pain. No hot, cold or biting pain. Clinical testing revealed teeth in LLQ were negative to percussion, biting and grinding. Tooth #18 tested negative to cold, and other teeth in quadrant tested within normal limits to cold. Diagnosis: #18 necrosis and normal periapex. Treatment plan: RCT #18. Accessed, working length established, SlimShaper® ZS1 and ZS2 in distal canal and one mesial canal. Other mesial canal would not permit rotaries due to angle, so employed #15 hand file to length. GentleWave® Procedure with ProControl™ completed. Obturated with TruNatomy® 20 GP and BC Sealer HiFlow™. BC Liner™ over orifices. 

Pre
Post

Let’s Talk

Talk to an experienced user to hear how the GentleWave System has impacted their clinical efficacy, procedure efficiency and practice economy.

Connect with a Peer

Let's Talk
Test-Drive