Skip to main content

Calcified Canals with Healing Evidence

Karen S. Potter, DDS
Diplomate, American Board of Endodontics
San Clemente Endodontics
Pre-Op
Pre-Op
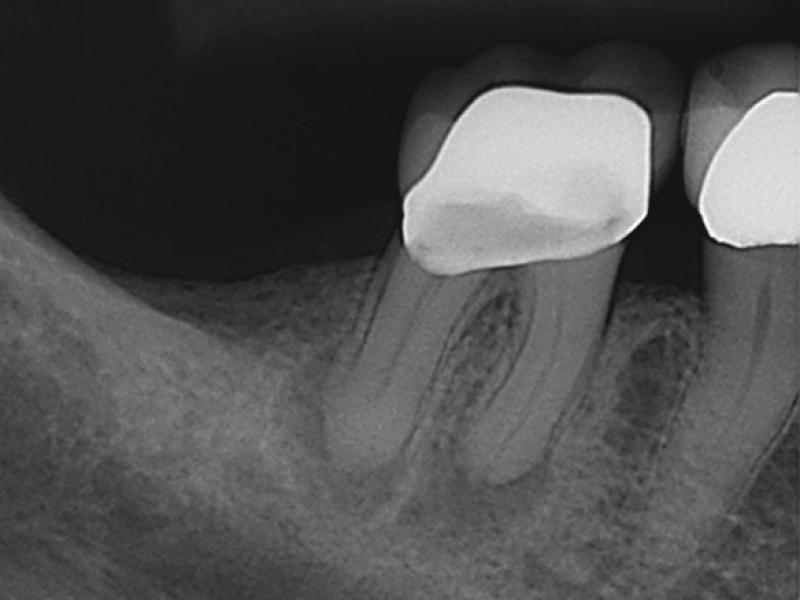
Post-Op
Post-Op
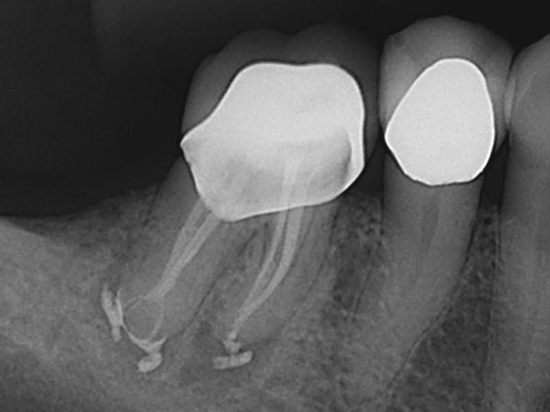
Recall
Recall
20

Let’s Talk

Talk to an experienced user to hear how the GentleWave System has impacted their clinical efficacy, procedure efficiency and practice economy.

Connect with a Peer

Let's Talk
Test-Drive