Skip to main content

Guarded Pre-Op with 3 Months Healing Evidence

Karen S. Potter, DDS
Diplomate, American Board of Endodontics
San Clemente Endodontics
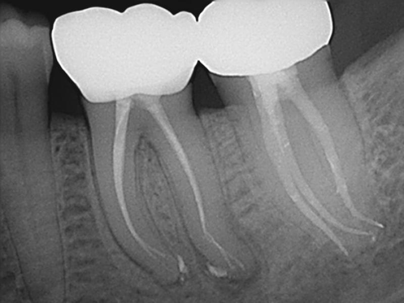
Pre-Op
Pre-Op
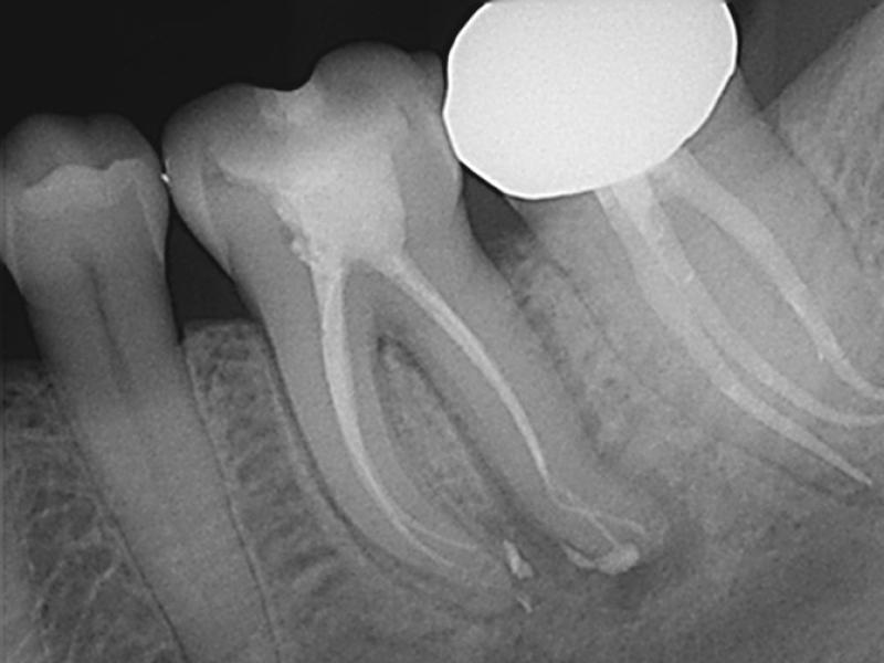
Post-Op
Post-Op
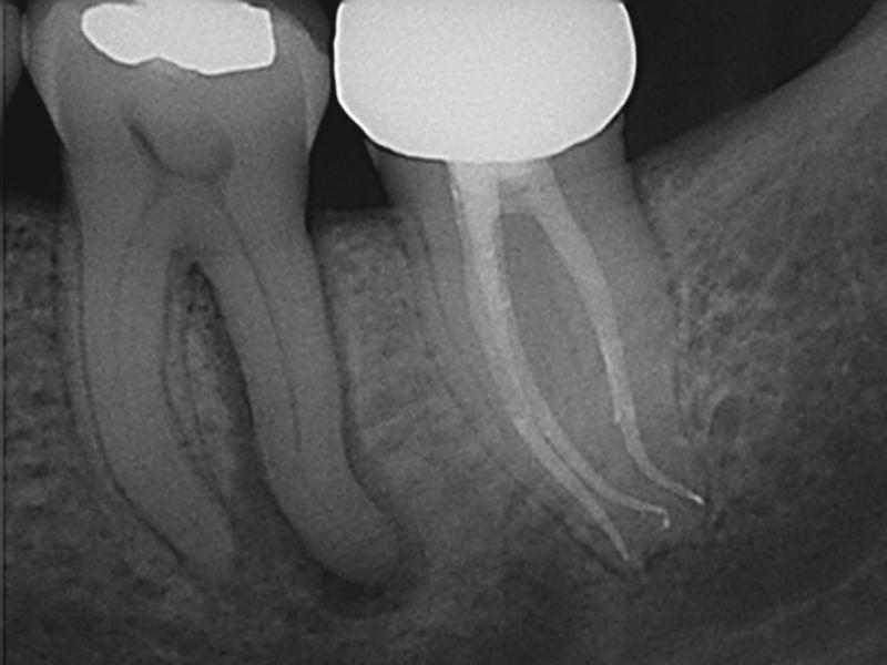
Recall
Recall
23

Let’s Talk

Talk to an experienced user to hear how the GentleWave System has impacted their clinical efficacy, procedure efficiency and practice economy.

Connect with a Peer

Let's Talk
Test-Drive